可约可空降二维码,全国空降快餐qq,全国空降可约的客服

看耳朵判断有无冠心病,迷信还是科学?

2018/10/23 21:18:54来源:良医济世作者:黄智伟

最近接诊了一个老年男性,平时休息时或者活动没有胸闷、胸痛等症状,但有时会有脖子发紧的感觉,没在意,也没去看医生。

在一次下棋时,他遇到一位旧友,这位老友刚刚做完心脏支架植入治疗。在聊天的过程中,这位朋友说,大夫说看我的耳朵就知道有冠心病,说耳朵上长褶皱的人可能会有冠心病,就是耳垂的地方。来...来...,我给你看看。嗨呦,你还真有耶,你赶紧去医院看看吧。


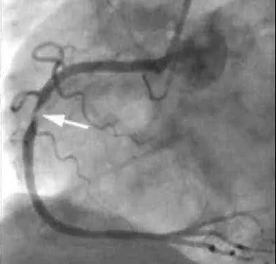
这位患者就到我们医院住院了。这个患者没有典型的劳累时胸闷或者胸痛症状,但有颈部紧缩感,再看看他的耳朵,确实有明显的皱褶,很有可能是冠心病。做冠脉造影,果不出所料,心脏三根血管均有狭窄,右冠脉重度狭窄,植入一枚支架。

微信图片_20181023211636.jpg

我想说,这个病人是幸运的,幸运遇到他的故人,要不哪天发生急性心肌梗死,那麻烦可就大了。