可约可空降二维码,全国空降快餐qq,全国空降可约的客服

脑梗和脑溢血这两种病有啥区别?哪个经治疗后更容易康复?

2018/9/18 17:19:10来源:问上医

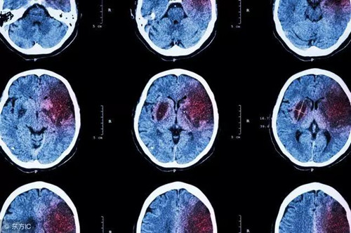
脑梗死和脑溢血都属于脑卒中,都是情况危急的脑血管病变。我国每年有150万到200万的新发脑卒中病例,其中70%是脑梗死,20%-30%为脑溢血。


脑梗死,说白了就是某个脑血管被堵塞了,使得受该血管供血的脑组织迅速坏死,治疗后多会留下偏瘫的问题。脑溢血则是某个脑血管被血流冲破,但脑组织还能获得部分供血,因而症状相对较轻,治疗后也多能完全康复。


下面,“问上医”就详细为您介绍这两种疾病的异同之处。


微信图片_20180918171732.jpg