可约可空降二维码,全国空降快餐qq,全国空降可约的客服

病例学习:心房突显异物一例

2016/7/11 11:34:29来源: 麻醉时间

心房粘液瘤是最常见的原发性心脏肿瘤,约占 50%。病人年龄大多数在 30~50 岁之间。女性发病率比男性略高。少数病人有家族史。粘液瘤大多为单发病灶,极少数病例在同一心腔或不同心腔内呈现两个或多个肿瘤。

在近期 Anesthesiology 杂志上,来自美国德克萨斯州贝勒医学院麻醉学系 Jonathan 教授等报道了 1 例被误诊的心房粘液瘤,现介绍如下。

基本病史 1 名 27 岁男性,近期由心脏 MRI 检查发现右心房一肿块,遂接受正中胸骨切开术切除肿块。MRI 检查结果示肿块边缘清晰,T1 加权低信号,T2 加权高信号,未附着于房间隔?;谛藕徘慷?、肿块位置和肿块清晰边缘,初步诊断为粘液瘤,但需要与其他肿瘤相鉴别,包括血管瘤、嗜铬细胞瘤或淋巴瘤等。

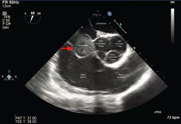
blob.png

图示患者心脏超声检查结果 

术中行经食管超声心动图以进一步评估肿瘤情况,结果发现,主动脉瓣非冠状尖呈明显外翻,边缘清晰,伴主动脉根增厚(真性动脉瘤),彩色多普勒超声进一步发现未破裂的瓦氏窦动脉瘤,在心脏舒张期呈自发性回声漩涡。

基于上述检查结果,外科医生商议立即中央静脉置管,开展体外循环,行主动脉切开术,采用心包补片修补瓦氏窦动脉瘤。

病例学习主动脉中膜与主动脉瓣之间分离可诱发瓦氏窦动脉瘤,并可发生于三个主动脉瓣的任意尖端。临床症状通常不明显,且不具有特征性,可表现为呼吸困难、心悸等。

临床上 MRI 可用于做出初步诊断,但经食管超声心动图诊断的敏感性和特异性较高,可有效鉴别动脉瘤或血栓。