可约可空降二维码,全国空降快餐qq,全国空降可约的客服

耳屏前肿物,如何诊断

2016/7/26 9:52:49来源:中华口腔医学杂志

一、临床资料

 

患者女性,58岁,因“右耳屏前肿物6个月余”入院。6年前不明原因张口时右侧颞下颌关节区疼痛,呈间断性针刺样,持续1~2min后消失,未进行任何治疗。6个月前发现右耳前突起,间断疼痛,渐进性长大。近1个月张口受限,疼痛时间延长就诊。

 

检查:面形不对称,右耳屏前、颧弓下有一25mm>×20mm×10mm的半球状肿物,质地硬,与皮肤无粘连,基底边界不清,不活动,轻微压痛,肿物闭口较开口时疼痛明显。右侧髁突动度减弱,可及关节弹响及摩擦音。张口度27mm,开口型向左侧偏斜,中线左偏约1mm,下颂前伸和侧向运动受限。既往有二十余年夜磨牙史。

 

二、辅助检查

 

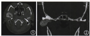
CT:右颞下颌关节有一不规则钙化高密度灶,呈哑铃形。外侧部分类似球形,突破关节腔位于颧弓下方、乙状切迹外侧及髁突前方;中间部分沿关节腔分布,呈盘状,与关节面间有潜在间隙,患例关节腔较健侧明显增宽;内侧部分跨越关节结节向前内斜形进入颞骨鳞部和蝶骨岩部,颅底骨质破坏(图1~3)。

 


图1CT可见病灶突出关节腔内外侧呈球状生长;图2颞下颌关节间隙不均一的高密度盘状钙化影,钙化影与髁突之间可见潜在间隙,病灶沿关节间隙分布,并向间隙内及外突出;图3病灶向前内突出至颞下窝.钙化物超越关节腔向外突出至面部,向内扩展至颅底;

 

MRI:右颞下领关节及颅底可见形态不规则结节状,T1稍长、T2不均匀信号影,间隙增宽,病变边缘光滑,与周围组织界限清晰,右侧翼内、外肌萎缩。增强扫描病变内可见不均质中等程度强化。提示:右颞下颌关节良性肿瘤(图4~6)。