可约可空降二维码,全国空降快餐qq,全国空降可约的客服

皮肤上的“红色警报”:荨麻疹与丘疹型荨麻疹,你能分清吗?

2025/11/4 9:41:26来源:复旦大学附属华山医院皮肤科

你是否曾经一觉醒来,发现身上突然多了几个又红又痒的“蚊子包”?它们来去匆匆,却让你痒得坐立不安?或者,你有没有过被一些特别顽固的红疙瘩纠缠好几天,痒到怀疑人生的经历?


其实,这很可能是你的皮肤拉响了两种不同的“红色警报”——荨麻疹和丘疹型荨麻疹。尽管两种疾病的名字里都带“荨麻疹”,但它们的表现却不太一样,常常让人分不清。今天,我们就来聊聊这两位“同姓不同类”的皮肤小麻烦,把它们俩彻底搞清楚!


01


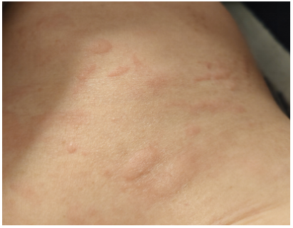
荨麻疹:皮肤上的“来去如风”


荨麻疹,俗称“风疹块”,它的特点就像一场突然袭来又迅速撤退的“皮肤风暴”。


image.png


典型症状:


1. 风团皮肤上出现大小不一、红色或苍白的隆起性斑块,边界清晰,就像被蚊子咬出的包,但面积更大。风团另一个典型特征就是可以自行消退。通常来说,单个风团通常在数小时至1天内自行消退,且消退后不留痕迹。但旧的风团刚消失,新的风团又可能在别处冒出来,反复发作,此起彼伏。


2. 瘙痒:风团发作时常常奇痒难忍,可能严重影响患者的睡眠、工作、学习和生活质量。


3. 血管性水肿少数荨麻疹患者可能会出现局部部位皮肤或黏膜水肿,通常累及眼睑、口唇等处,可有麻木感,持续时间可能长达几天。


主要病因:


荨麻疹的发病可能和外源性因素或内源性因素有关。


外源性因素包括食物(如鱼虾、海鲜、蛋奶、坚果等)、物理因素(如压力、冷、热、日光、搔抓等)、环境因素(如花粉、尘螨、宠物皮屑等)、药物(如抗生素、解热镇痛药、抗癫痫药等)等;内源性因素包括隐匿性感染、劳累以及自身免疫疾病等,常常难以明确。


治疗与管理:


治疗

对症为主,首选抗组胺药,缓解瘙痒和风团??诜棺榘芬┪铮ㄈ缥魈胬骸⒙壤姿ǖ龋┦鞘籽?,能有效阻断过敏反应,缓解瘙痒。慢性荨麻疹若采用抗组胺药治疗,建议规律服用,逐渐减量至停,如反复发作,还可考虑采用生物制剂等药物进行治疗。


若荨麻疹急性发作时,出现全身风团并伴有呼吸困难、喉咙发紧、心慌、头晕、腹痛腹泻甚至休克晕厥等全身症状时,可能是危及生命的严重过敏反应,需立即就医!


日常管理及预防

努力寻找并避开过敏原,避免饮酒和进食辛辣刺激食物;


②温和护肤、穿着宽松:使用温和的沐浴产品,沐浴水温不宜过高;平时选择纯棉、宽松的衣物,减少对皮肤的摩擦和刺激。


③保持心情舒畅,避免紧张焦虑,避免过度搔抓。


02


丘疹性荨麻疹:昆虫叮咬后的“顽固印记”


丘疹性荨麻疹,又被称为“虫咬皮炎”。最常见的诱因便是昆虫叮咬,尤其是蚊子、跳蚤、臭虫、螨虫等。其实它并非真正的荨麻疹,而是虫咬后的一种过敏反应。


image.png


典型症状:


表现为绿豆至花生大小的红色坚实疙瘩,在疙瘩顶端常可见到小水疱或小瘀点,常常瘙痒剧烈。皮疹多见于四肢暴露部位,如小腿、手臂等位置。与荨麻疹的风团不同,丘疹性荨麻疹每个皮疹一旦出现,就会非?!巴绻獭保ǔ3中焐踔潦懿呕崧?,且消退后可能留下暂时的色素沉着。


治疗与预防:


治疗


①外用为主:可外用炉甘石洗剂或中弱效激素药膏(如糠酸莫米松乳膏)、樟脑软膏等来抗炎止痒。如有因抓挠破溃而导致感染,需加用夫西地酸、莫匹罗星等抗生素软膏。


②口服药物:瘙痒严重影响睡眠时,可口服抗组胺药止痒抗过敏。


预防:


防虫、杀虫为第一要务;日常注意个人卫生及居家或办公室内卫生,勤换洗晾晒床单被褥,遛宠物后注意清洁、定期清理宠物身上的跳蚤或螨虫,去草丛时穿长袖长裤,使用蚊帐、防蚊液等。


03


总结


如果身上的小红疹24小时内自行消退却又此消彼长,那很可能是荨麻疹。


如果小红疹固定在某些部位,好几天都不消退,还特别顽固,那首先要考虑丘疹性荨麻疹(虫咬皮炎)。


希望这篇科普能帮助大家更好地识别这两种常见的皮肤问题。当然,皮肤病的表现千变万化,如果无法自行判断或病情加重,请务必及时前往正规医院皮肤科就诊,让专业医生为您保驾护航!