可约可空降二维码,全国空降快餐qq,全国空降可约的客服

嘴角长泡是上火?别把单纯疱疹认错了!

2024/2/4 15:19:12来源:德阳市人民医院皮肤科

病友:医生,我嘴巴周围长了好多水疱,好疼!~你帮我看看,是上火了吗?


医生:你这是单纯疱疹病毒感染。


经常熬夜
过度劳累
免疫力低下
感染新冠病毒后发热导致“上火”
暴饮暴食 肝火旺盛
手接触了不卫生的物体表面
一大堆水疱可能找上您嘴角或眼周
又痛又痒
严重的可能溃疡糜烂
那么
您大概率是感染了单纯疱疹病毒




疱疹分好几种
 单纯疱疹很常见
据不完全统计
90%的成人感染过“单纯疱疹病毒”

微信截图_20240204152038.png


多数单纯疱疹有自愈性
但是也容易复发
今天
 我们一起来聊聊单纯疱疹吧


01

单纯疱疹是一种病毒性皮肤病



 单纯疱疹是由单纯疱疹病毒(HSV)感染引起的病毒性皮肤病。


主要表现






  

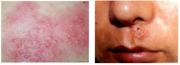
为簇集的水疱。有疼痛感、烧灼感或轻微的瘙痒感,主要见于面部,以口腔和唇部最常见。


好发部位







鼻孔、眼周、前额、面颊、手指亦可出现。


易发人群及传播方式







单纯疱疹病毒(HSV)主要分为HSV-I和HSV-II两种。


图片



I型初发感染多发生在5岁以下幼儿,通过亲吻或其它方式接触感染,主要引起生殖器以外的皮肤粘膜和脑部感染。




II型初发感染主要在青年人或成人,通过亲密接触传播,引起生殖器部位感染。




病毒首次侵入皮肤粘膜后会长期潜伏在相应的神经节,当受到某种诱因(如发热、受凉、劳累、机械刺激等)时,潜伏状态的病毒可以激活并沿着神经所支配的上皮,形成复发性疱疹。



02

为什么容易复发?


由于HSV感染具有隐蔽性,隐性感染者众多,很多人被感染却不自知。原发感染潜伏期为2-12天,平均6天,部分复发患者可能没有原发感染症状。

然而,并不是感染了这个病毒的人都会发病,只有当我们的抵抗力下降、过度劳累时,病毒才容易出来作威作福。感染新冠病毒之后免疫力变弱,潜藏在体内的单纯疱疹病毒趁机激活,触及皮肤。

所以单纯疱疹不仅具传染性,还有复发性。每次在同一部位或其临近部位复发。

03


有哪些症状?


大多数情况下,单纯疱疹的症状都局限在皮肤或黏膜,典型的皮肤表现为突发的红斑基础上局部群集性小水疱,伴有轻微瘙痒和疼痛或灼热感。

很快破溃形成表浅溃疡等。但在某些情况下,单纯疱疹的感染会对我们身体会带来更大危害,甚至有致命的危险。

微信截图_20240204152132.png

04

单纯疱疹常见类型



疱疹性龈口炎







该型较为常见,绝大多数由HSV-1引起,常见于儿童,好发于口腔、牙龈、舌咽、脸部等部位。较为典型的症状是口腔黏膜的一些成簇的小水疱,或红斑、浅溃疡,同时可能伴有发热、疼痛、局部淋巴结肿大。


疱疹性龈口炎具有一定的传染性,尤其是小朋友之间要注意保持一定的距离,减少传染,如果感染了疱疹性龈口炎,要注意休息,加强营养,注意口腔卫生,注意不要吃热、硬,以及刺激性较强的东西。


如发烧体温较高,要及时进行物理降温,或使用一些退烧药,通常2周左右症状逐渐改善。如果有特别严重的全身症状,一定要及时到医院进行治疗。


疱疹性结膜炎







单纯疱疹也可能会发生在眼部,导致角膜炎或结膜炎,严重的会导致角膜穿孔引起失明??珊喜⒀奂搴投傲馨徒嶂状?,容易复发。


微信截图_20240204152212.png


致命性脑炎







单纯疱疹病毒性脑炎约有三分之一的病例发生在青少年儿童,往往是通过皮肤黏膜破损原发感染后,经由三叉神经或嗅神经束直接侵入大脑中枢,进而导致脑炎。

出现发热、头痛等急性症状,初期可能会出现神经症状,比如轻躁狂。

严重阶段常见典型特征为急性发热、头痛、癫痫发作和意识受损。尽管目前已有抗病毒治疗,但HSV-1脑炎仍是一种高度致死性的疾病,未经治疗的死亡率高达70%,即使经过系统治疗,死亡率也依然有约30%。

05

得了单纯疱疹,该如何治疗


大多数单纯疱疹可给予口服抗病毒药物(阿昔洛韦、伐昔洛韦)治疗,局部外用药物以收敛、干燥和预防继发感染为主。

预防继发感染可外用抗病毒软膏,如阿昔洛韦、喷昔洛韦,结合抗生素软膏如莫匹罗星红霉素等,一般1-2周左右皮损会消退。

若有较多水疱或渗出液,可用3%硼酸溶液冷敷。

如果出现较为严重的系统性症状,如呕吐、精神状况发生大的改变时,一定要及时就医,明确病因、对症治疗。

对于复发型单纯疱疹最好在出现前驱症状或皮损24小时内开始抗病毒治疗。复发型单纯疱疹一般伴有免疫力低下,需要增强免疫力。

06

如何预防



第一,为了避免单纯疱疹感染和复发,日常生活中要注重预防,避免不洁接触;

第二,均衡饮食,加强锻炼,提升机体免疫力;

第三,注意休息,避免熬夜和疲劳过度; 

第四,保持愉悦心情。