可约可空降二维码,全国空降快餐qq,全国空降可约的客服

20个治疗扁平疣验方

2019/10/16 14:44:52来源:基层医师公社综合


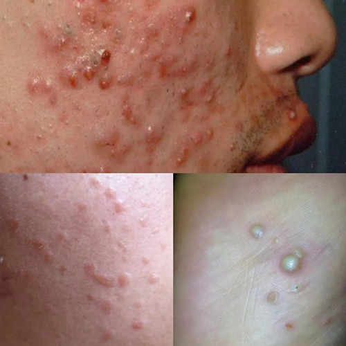
扁平疣好发于面部、手背和脚上。大多突然出现,为米粒到黄豆大小的扁平隆起丘疹,表面光滑,质硬,浅褐色或正常皮肤颜色,圆形、椭圆形或多角形,数目较多,密集。


微信图片_20191016144611.jpg


上图左下角为扁平疣。它不仅影响到了患者的容貌美观,还具有传染性,可自身迅速传播,也可传染给他人,因此长了扁平疣要及时治疗。


小社为大家整理了近二十年好用的治疗扁平疣验方,操作方便又管用,大家可以试试。