可约可空降二维码,全国空降快餐qq,全国空降可约的客服

老年妇女的非典型胸痛必需引起重视!

2019/12/5 15:30:20来源:医博士网作者: 郑丹丹

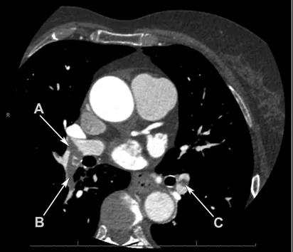
一名73岁的女性因不典型性胸痛来就诊,患者无心血管疾病病史,无其余特殊相关体征和症状。作为常规检查,在胸痛诊疗中心给患者做了冠脉CTA。动脉相的冠脉CTA可见右肺动脉主干远端,右下叶肺动脉,左下叶肺动脉有弥漫性的低密度灶。冠脉无异常发现。尽管该检查并非肺动脉栓塞的首选影像手段,但影像学结果能够将病人诊断为弥漫性双侧肺动脉栓塞。因此最终诊断为弥漫性双侧肺动脉栓塞。


微信图片_20191205153233.jpg


动脉相的冠脉CTA可见右肺动脉主干远端,右下叶肺动脉,左下叶肺动脉有弥漫性的低密度灶



讨  论


在体征稳定的患者,比如此患者的情况下,治疗的主要目的是抗凝。而对于血流动力学不稳定的患者,应当首选溶栓或栓塞取出术。


肺动脉栓塞的主要危险因素包括高龄,活动受限,恶性肿瘤,化疗,下肢创伤,手术以及血栓性疾病。然而,有25%的肺动脉栓塞患者没有典型的危险因素。对于无危险因素下突发单侧或双侧静脉栓塞的患者是否要筛查肿瘤一直是有争议的,目前认为无危险因素下突发静脉栓塞的患者患肿瘤的概率是4%。